石灰化を含む病変(過誤腫疑い) Nagasaki'University 過誤腫 • 肺の良性腫瘍の7割程度と最も多い • 多くは40歳以上 • 軟骨腫瘍、上皮成分、脂肪組織など が混在する組織奇形 • 肺末梢に見られる境界明瞭で辺縁平 滑な孤立結節で、約30%でポップコー 疾患メモ 肺良性腫瘍( 表 ) 1) は,きわめて緩徐かつ膨張性に発育し,周囲組織への浸潤や組織破壊を示さない。 そのほとんどの成因は不明であるが,一部の腫瘍には遺伝子異常が認められる。 頻度的には,肺過誤腫が最も多く,ついで硬化性肺胞上皮腫が認められ,全肺腫瘍の1~2外科的切除により診断された肺過誤腫の臨床像の検討 徳永 俊照 , 武田 伸一 , 小間 勝 , 澤端 章好 , 前田 元 日本呼吸器外科学会雑誌 = The journal of the Japanese Association for Chest Surgery 22(5), ,
93 異常陰影の場所
肺 過誤 腫 画像
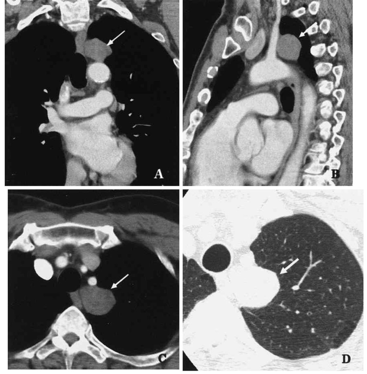
肺 過誤 腫 画像-肺過誤腫は肺の構成成分のうち上皮性成分と間葉性成 分,すなわち軟骨,線毛上皮,脂肪成分を含む良性腫瘍 で,WHOの肺に発生する腫瘍の組織分類ではMiscellaneous Tumorsとして分類されている1)2).肺過誤腫の悪画像的には中枢側(気管支側)に発生ことが比較的多いが、 抹消の肺に発生することもある。 空洞を作るのも特徴である。 早期であれば手術、進行期であれば放射線+化学療法が 選択される。



Core Ac Uk
病理標本ギャラリー/ヴァーチャルスライド/呼吸器 肺過誤腫 pulmonary hamartoma 臨床データ 40代 女性 検診にて胸部X線上、異常陰影を指摘された。瘍としては,過誤腫と硬化性肺細胞腫(かつての硬化性 血管腫)の頻度が多く,いずれも境界明瞭で辺縁平滑な 孤立性結節としてみられる.結節内の脂肪やポップコー ン状石灰化は,過誤腫の診断に有効である.maltリン日本では1970年に山中と斎木により「び慢性過誤腫性肺脈管筋腫症」と言う病名で報告 されました。 LAMには、結節性硬化症(プリングル病とも呼ばれま す)という病気に伴っ て発生する場合(結節性硬化症に合併したLAM) と、伴わないで単独で発生する場合(
胸部ctで特に肺結節を見落とすのは致命的(患者さんにとっても、読影する人にとっても・・・)となることがあります。 それだけでなく、胸部ctには、 ・甲状腺 ・乳腺 ・胸壁 ・縦隔 ・脊柱管 などが写っているため、これらの病変もチェックする必要があります。5肺・胸膜 (15)過誤腫病理コア画像 5肺・胸膜 (15)過誤腫 ミクロ像(HE弱拡大):境界明瞭な腫瘤であり、軟骨、脂肪組織や気管支上皮など正常気管支を構成する成分からなるが、合目的な組織構築を欠いている。 周囲肺実質にはほとんど変化が見られこの結果、多分「肺の過誤腫」でしょうとの診断が出ました。 それでもまだ100%カルチノイドではないとは言い切れないため 手術を勧められました。 pet検査で良性か悪性かはっきりするものと思っていたらそんなことはないのですね。
5肺・胸膜 (15)過誤腫病理コア画像 5肺・胸膜 (15)過誤腫 マクロ像:部分切除された肺実質内に境界明瞭な白色の結節(点線)が形成されている。 白色の成分は軟骨である。 画像をクリックすると拡大表示します。 知っています。同じように、肺にも良性腫瘍がで きることがあります。種類は実に様々ですが、比 較的多いものは、過誤腫と呼ばれる腫瘍で約半数 を占め、そのほかに硬化性血管腫、軟骨腫、脂肪 腫、平滑筋腫などがあります。これらの良性腫瘍特集肺癌画像診断05年一肺結節の良悪性胸部CT で手術を想定する肺過誤腫または肺良性腫瘍を疑う結節影 Chemical shift MRI の施行及び腫瘍摘出術に同意 症例登録 Chemical shift MRI を施行し画像を評価 腫瘍摘出術を施行(必要に応じて術中針生検等も検討) 病理診断とChemical shift MRI の所見を対比 02



肺硬化性血管腫の一例 日本臨床細胞学会東海連合会日本臨床細胞学会東海連合会



症例051 肺過誤腫 胸部単純x線写真 石灰化を伴う結節影 X線写真 X線 症例
ており,良性肺腫蕩の41 9%を占め,最も頻度が高 い1) Cozzoli らは腎癌肺転移の臨床診断で肺切除術 を行った19例のうち, 1例(05%) が肺過誤腫であっ たと報告しているの 画像での肺癌との鑑別点としてはCTで石灰化の存肺過誤腫の臨床経過をどう考えるか? 症例提示:34歳、女性 主訴:胸部異常陰影の精査 現病歴:平成4年10月健康診断で胸部X線検査で異常を指摘された。 精密検査目的で10月13日に外来を受診した。 診察では、肺野呼吸音は異常なし。 肺結節の原因 多くの異なる疾患が肺結節を引き起こす可能性があり、それらのすべてが生命にかかわったり、さらには危険であるとは限りません。 以下が含まれます: 自己免疫疾患。 Brigham and Women's Hospitalによると、関節リウマチ、リウマチ性肺疾患



Fdg Pet所見から肺癌を疑った気管支内過誤腫の1例 胸部外科 62巻9号 医書 Jp



良性肺腫瘍 呼吸器外科 順天堂医院
肺原発腺癌の染色性を示していた9).通常,大腸癌 がck7陰性,ck陽性の染色性9)を示すことを考 慮すると,これらの所見は本腺癌が肺過誤腫の線毛 上皮から発生した肺原発の腺癌であり,過去罹患し た右の肺腺癌や4年前の直腸癌からの転移ではない第3脳室床過誤腫 (視床下部過誤腫)hypothalamic hamartoma 別ページに詳細があるのでここをクリック 笑い発作,思春期早発,多動・易興奮性,行動異常,難治性てんかん,意識減損,認知機能障害 第4脳室床過誤腫 (脳幹部過誤腫)brainstem hamartoma腫の可能性を考えて診断が進められる。 ・リンパ腫にmtxが関連しているかの情報は、治療法 にも関わってくる。 ・mtx内服中のリウマチ患者で、肺病変の精査を依頼 する場合は、その旨を依頼書に記



Haigan Gr Jp



Mh Nagasaki U Ac Jp
肺の単発性結節の68%、 肺の良性腫瘍の77% を占める。 40〜50歳代に好発し、男女比は23:1。小児には稀。 通常は無症状だが、気管支内腫瘍による閉塞性肺炎が原因となって、咳嗽、軽度の胸痛、発熱を来すことがある。まれに喀血あり。 過誤腫の画像診断 肺硬化性血管腫の画像所見 境界明瞭な15cm大 の結節、腫瘤影を呈する。 通常は 充実性 。内部に嚢胞を来すこともある。 石灰化は10%で認められ、中心性に認められる事が多い。特集肺癌画像診断05年一肺結節の良悪性鑑別の進歩 図1 肺過誤腫 70歳代女性 a hu pu a HRCT肺野条件。 右下葉肺底部に15mm大、辺縁整で一部わずかに分葉状の形態を呈する結節あり。 b,c HRCT縦



肺硬化性血管腫の一例 日本臨床細胞学会東海連合会日本臨床細胞学会東海連合会



Core Ac Uk
胆管過誤腫(von Meyenburg complex)とは胆管壁組織の遺残より発生する胆道系との交通を 持たない嚢胞性病変で、剖検例では069~56%に認められ、無症候性に画像診断等で発見さ れることが多い。通常胆管過誤腫はFDGPET陽性となることはない。今回胃癌ESD後のフォ肺過誤腫のCT所見 特にepitheliallined cleftと肺動脈枝の関与について 並列タイトル (alternative) CT findings of pulmonary hamartoma with special reference to epitheliallined clefts and connection with pulmonary arteries 著者 (creator) 叶内哲 星俊子過誤腫 Wikipedia 過誤腫と病理学的に診断される機会の多い肺過誤腫を例に挙げれば,胸部X線検査や CT検査で偶然発見される孤発性のcoin lesion (銭形陰影)を示す「腫瘍様」病変である 。 切除された病変を病理組織学的に検査すると、分葉状に気管支軟骨



イーサイトヘルスケア Caseoneクイズ配信のお知らせ 10月22日 胸部単純写真を読む 38 症例 50代 男性 血痰あり 診断は 肺アスペルギルス症 菌球形成型 肺過誤腫 肺癌 結核 硬化性血管腫 ご登録いただければ後から配信します 無料



Iryogakkai Jp
Article "Pulmonary Hamartoma Imaging Findings" Detailed information of the JGLOBAL is a service based on the concept of Linking, Expanding, and Sparking, linking science and technology information which hitherto stood alone to support the generation of ideas By linking the information entered, we provide opportunities to make unexpected discoveries and obtain knowledge from 10)肺過誤腫 堀内 啓 , 荒井 政和 , 松谷 章司 医学書院 検査と技術 32巻 10号 (04年9月) pp PDF(296KB)



Core Ac Uk



Jrs Or Jp



93 異常陰影の場所



症例7 診断と解説



症例051 肺過誤腫 Ct 症例 アトラス 肺



Mh Nagasaki U Ac Jp



非軟骨性肺過誤腫 胸部外科 61巻12号 医書 Jp



Jrs Or Jp



Jmacct Med Or Jp



眼病変 網膜過誤腫 医療関係者向け情報 結節性硬化症に伴う症状 発現時期 病態 症状 診断 治療 結節性硬化症 Jp



症例051 肺過誤腫 胸部単純x線写真 X線写真 肺 症例



Mh Nagasaki U Ac Jp



胸部ct 単発結節影の鑑別 ピクトグラムでわかる呼吸器内科



Iryogakkai Jp



Kintore Hosplib Info



肺がんについて 肺がん相談室 肺癌のセカンドオピニオン 診察



Jrs Or Jp



Hamartoma



肺癌が疑われたら



孤立性肺結節 Spn Solitary Pulmonary Nodule ページ 2



中外医学社 書籍詳細



症例009 円形様無気肺 Ct 症例 アトラス X線写真



症状の概要 医療関係者向け情報 年齢期別でみる結節性硬化症 結節性硬化症 Jp



肝腫瘍 肝芽腫 肝細胞癌 肝良性腫瘍 獨協医科大学埼玉医療センター小児外科



肺硬化性血管腫の一例 日本臨床細胞学会東海連合会日本臨床細胞学会東海連合会



Jrs Or Jp



Core Ac Uk



医師国家試験クイズくん 悪性と良性の鑑別にはfdg Petが有効 を覚えておきましょう ほかに悪性を疑う所見に 肺門縦隔のリンパ節腫大 3cm以上の腫瘍径 石灰化がないこと 良性はポップコーン状石灰化が多い スピキュラが存在すること 倍の



Radiology Sys Jp



Mh Nagasaki U Ac Jp



難治性呼吸器疾患 肺高血圧症に関する調査研究 Lam リンパ脈管筋腫症



Radiology Sys Jp



5 肺 胸膜 15 過誤腫 病理コア画像



Mh Nagasaki U Ac Jp



Jat Jrs Jp



1



胸部ct 多発肺結節 腫瘤影 浸潤影の鑑別診断は



Radiology Jp



日々の症例 129 石灰化肉芽腫の疑い Calcified Pulmonary Nodule



5 肺 胸膜 15 過誤腫 病理コア画像



肺病変 肺lam 医療関係者向け情報 結節性硬化症に伴う症状 発現時期 病態 症状 診断 治療 結節性硬化症 Jp



1



Obayashihp Or Jp



肺の良性腫瘍 電子コンテンツ 日本医事新報社



肺がんについて 肺がん相談室 肺癌のセカンドオピニオン 診察



レッスン22 異常陰影を指摘せよ 難易度 中 2ページ目 日経メディカル



Jrs Or Jp



3



症例8 診断と解説



画像あり 肺に結節影をctで指摘された 経過観察のガイドラインは



Jrs Or Jp



肺癌のct所見 東大病院心臓外科 呼吸器外科



第6回 Lookrec画像診断勉強会 肺結節に強くなる編 学生団体mnist Note



肺癌のct所見 東大病院心臓外科 呼吸器外科



肺野に異常影がある 6ページ目 Cadetto Jp



肺癌画像診断の 勘 どころ 最終診断への道しるべ Ct画像診断のコツ 肺野型肺癌 その他の肺癌 転移性肺癌 低悪性度肺癌 Sclerosing Pneumocytoma など 松下彰一郎 ほか



珪肺 Wikipedia



103i45 Medu4でゼロから丁寧に医学を学ぶ



Haigan Gr Jp



Jat Jrs Jp



肺癌が疑われたら



肺軟骨腫の1例 胸部外科 71巻11号 医書 Jp



Core Ac Uk



石灰化を伴う肺結節 腫瘤の鑑別診断は



肺過誤腫とは 画像診断のポイントは



肺過誤腫による肺切除についてctで右中葉に腫瘍が確認され 気管支内視 Yahoo 知恵袋



肺硬化性血管腫のct画像診断



肺腫瘍 医療情報検索 日本大学医学部附属板橋病院 Nihon University Itabashi Hospital



肺の良性腫瘍 電子コンテンツ 日本医事新報社



良性肺腫瘍 ジャンママのフレブル日記



肺過誤腫を合併した原発性肺癌の1例 胸部外科 71巻2号 医書 Jp



良性肺腫瘍 呼吸器外科 順天堂医院



超高精細ctの能力を活かした肺腫瘤診断 久保 武 京都大学医学部附属病院放射線部



Storiform Collagenoma 花筵状膠原腫 軟部腫瘍病理の部屋



日々の症例 100 肋骨の骨島



Mh Nagasaki U Ac Jp



中皮腫 Wikipedia



過誤腫性肺脈管筋腫症 Meddic



3



Solitary Pulmonary Nodule Spn 孤立性肺野病変 石灰化 空洞化 統計学 造影ct 限局性肺野病変



5 肺 胸膜 15 過誤腫 病理コア画像



びまん性過誤腫性肺脈管筋腫症 Youtube



網膜過誤腫 結節性硬化症のひろば 結節性硬化症と診断された方とご家族の方へ



難治性呼吸器疾患 肺高血圧症に関する調査研究 Lam リンパ脈管筋腫症



解説詳細 Birt Hogg Dube症候群 気胸 肺のう胞スタディグループ



09年医師国家試験問題解説 画像診断のポイント 放射線科 石口 09年6月23日 Ppt Download



良性肺腫瘍と腫瘍類似疾患 各良性疾患の特徴 Medicina 41巻12号 医書 Jp



明らかな増大を認めた肺過誤腫の1例 胸部外科 63巻5号 医書 Jp



Obayashihp Or Jp



原発性肺癌を合併した肺過誤腫 胸部外科 63巻10号 医書 Jp



肺過誤腫 おわりました



Mh Nagasaki U Ac Jp



今週のカンファ 中枢気道発生腫瘍 痙攣後のbabinski反射 Ct Halo Sign 栃木県の総合内科医のブログ



症例6 診断と解説
